OMNILUX™ Red Light Facial Rejuvenation

$29

FIRST SESSION

Medical Grade LED Anti-Aging or Acne Treatments for Tighter and Clearer Skin

20 Minute Relaxing Sessions

OMNILUX™ Red Light Facial Rejuvenation

$29

FIRST SESSION

Medical Grade LED Anti-Aging or Acne Treatments for Tighter and Clearer Skin

20 Minute Relaxing Sessions

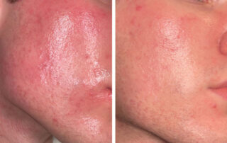
WHAT IS OMNILUX™ RED LIGHT (LED) PHOTO-THERAPY TREATMENT?

Tan LA is proud to offer the most powerful Red Light Anti-Aging Facial Rejuvenation system available

Omnilux Revive™ red light photo-therapy treatments are non-invasive, non-ablative, and safe for patients. This new technology is based on narrow-band Light Emitting Diodes (LEDs), developed after 12 years of extensive medical research.

Omnilux™ red light uses pure, visible red light to stimulate the deeper skin tissue, leading to a softening of fine lines, improved skin tone and super smooth skin.

The Omnilux Revive 2 is used for the treatment of a wide range of dermatological conditions including photo damage, skin rejuvenation, acne, and wound healing post elective surgery. The treatment head delivers pure, optimized, narrowband light via a matrix of LEDs carefully positioned to deliver the correct dose of light to the treatment area. Omnilux stimulates cells athermally without causing damage to the epidermis or dermal tissue, therefore there is no downtime for patients or unwanted side effects* (e.g. erythema, peeling or blistering) as may result from use of a laser or other products.

What the Experts are saying about OMNILUX™

I trust Omnilux Contour as it’s backed by clinical evidence and based on the same Omnilux Medical devicces we’ve used in our clinic for years. And patients love it – they appreciate the excellent results and convenience…”

— Dr. Jared Jagdeo, MD
Associate Professor of Dermatology, SUNY Downstate Medical Center

For more information on LED Photo-therapy see the following reports (PDFs):

*Individual results may vary. See our Disclaimer information.

$0
OFF FIRST SESSION

Treat your face to healing benefits. You deserve it.

Book your first relaxing Red Light Facial rejuvenating treatment and see the benefits your skin is waiting for.